BOOST ZK deck

BOOST WIP 094 — Bright + Black-Blood Whole-Heart MRI

真鍋 / 2026-04-29
一次SoT: [[BOOST_WIP094_Manual]]。WIP 094は research software package であり、臨床判断・契約判断は本deck単独で確定しない。
BOOST application guide title visual

本日の流れ

1. Sequence identityBOOST の bright/black-blood 定義、WIP 094 の位置づけ
2. AcquisitioniT2Prep / iMTPrep / VD-CASPR / iNAV / quiescent window
3. Reconstructionnon-rigid Moco、CG-SENSE、CS、PROST、3 recon modes
4. Operationprotocol setup、special card、references、三重大導入context
What is BOOST
WIP 094 package
Acq + motion
Recon branch
Mie rollout questions
Source routes: [[BOOST_WIP094_Manual]], [[BOOST_Sequence]], [[Project_BOOST]]

What is BOOST

BOOST = Bright-blood and black-blOOd phase SensiTive。非造影 3D whole-heart MRI で coronary lumen と vessel wall / thrombus / plaque を同じ撮像枠から読む。
IR / prep
同一motion stateの3D data
PSIR or subtraction
Output 読む対象 価値
Bright-blood coronary lumen 冠動脈走行・狭窄・MRA
Black-blood wall / thrombus / plaque vessel wall / PMR / culprit lesion
Paired contrast 同じ呼吸位相 別撮りfusionの位置ずれを避ける
[[BOOST_BrightBlood_BlackBlood]]: PSIR 符号保持と subtraction 分岐を分けて読む。

WIP 094 Overview

Package identity

Field Value
Current ID WIP 094
Former ID WIP 1427
Source title Simultaneous Bright- and Black-Blood Whole-Heart MRI
Origin KCL Botnar / Prieto group lineage
Vendor contact Dr. Karl-Philipp Kunze

Deployment boundary

Research software
  • Advanced Cardiac License
  • scanner-specific WIP license
  • Sola / Sola Fit: syngo MR XA60 / NX VA60A context
  • Aera / Skyra / Prisma / Vida / Free.Max listed as supported MAGNETOM systems
WIP表示は routine clinical use 承認ではなく、研究用package境界を示す。Protocol import は Dot cockpit から手動。

Lineage

2018

Ginami

BOOST foundation: noncontrast coronary lumen + thrombus。Bright/black の名前と同時取得思想。
2019

Milotta

T2prep-IR interleaving。cardiovascular anatomy と wall assessment へ拡張。
2023

Munoz

iT2Prep-BOOST を aortic lumen + vessel wall へ展開。
2025

Hajhosseiny

NSTEMI culprit / vulnerable plaque assessment。PMR 議論の臨床translation。
読み筋: bright/black の原理 → wall assessment → aortic extension → plaque characterization。

Multi-Contrast Acquisition

iT2Prep

T2 + IR

1st HB は T2/IR-prep bright-blood。2nd HB prep off で long-TI grey-blood を作り、subtraction に回す。

iMTPrep

MT + IR

off-resonance Gaussian pulse train。PSIR reference と prep-off long-TI pathway を分けて読む。

No-prep / reference

2nd HB

2nd heartbeat は reference dataset、MT/T2 prep、または prep omitted dataset として recon branch を支える。

1st HB
prepared dataset
2nd HB
reference / long-TI
Subtr / Bright-only / PSIR

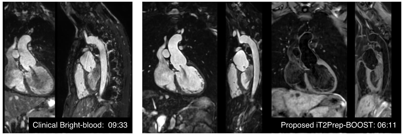
iT2Prep BOOST

1st HB: T2/IR-prep
2nd HB: long-TI
Simplified magnetization schematic; manual figure is represented in the asset below.
iT2Prep mode は 1st HB の T2/IR-prep image と 2nd HB の long-TI image を意図的にずらし、subtraction black-blood を作る。
Layer Manual-derived anchor
T2 refocusing 4-8 MLEV pulses
Alternative 2 optimized adiabatic pulses
2nd HB 2nd HB Prep On = False (=2)
Output bright + grey → black-blood subtraction

iMTPrep BOOST

MT-prepared BOOST PSIR example

MT preparation

IR と MT preparation を組み合わせる variant。MT preparation は off-resonance Gaussian pulse train で、train length / duration / flip angle / frequency offset を持つ。

Parameter Practical anchor
Frequency offset 3000 Hz default figure
Pathway A MT-prep reference → PSIR
Pathway B 2nd HB prep off → long-TI subtraction
Guardrail PSIR は Dixon 非互換

VD-CASPR Trajectory

Variable-density Cartesian spiral profile

Cartesian grid を保ち、center k-space を密に、outer k-space を疎にし、phase encode ordering を spiral-like に散らす。

Variable density
Spiral profile order
Incoherent residual
UI factor
2.5-4.0
Effective
3.2-5.1
PAT display
別枠
`Acceleration Factor` は VD-CASPR 有効時の undersampling 設定。標準 PAT display だけでは実効加速を読めない。

Image Navigation (iNAV)

ECG trigger
2D iNAV
SI/LR tracking
Motion correction
iNAV は横隔膜を代理にせず、低解像度2D heart image から心臓位置を直接測る。
Strategy Tracking Efficiency
Diaphragm navigator 横隔膜 1D proxy 30-50%
Image Navigator heart 2D direct 70-95%
iNAV + correction all shots usable ~100%
BOOST / WHP では iNAV が後段の PROST / non-rigid motion compensation の入口になる。

Quiescent Window Determination

Physio tab acquisition window example
4-chamber free-breathing cine で RCA が最も動かない区間を見て、Data window start / duration を合わせる。
UI axis 使い方
Trigger delay Data window start を動かす
Data window duration 標準 80-120 ms
Segments 静止窓が短い時に減らす
IR time change window を再確認

Reconstruction

iNAV / bins
non-rigid Moco
CG-SENSE / CS / PROST

PROST boundary

PROST は Deep Learning ではなく、patch-based regularization と motion compensation を組み合わせる iterative recon backbone。

Scenario Default reading
Moving organs + iNAV motion-compensated CG-SENSE
Non-Moco / no-iNAV / non-ECG Compressed Sensing
BOOST / WHP lineage 3D-PROST denoising / recon backbone
Static phantom Moco CG-SENSE は distortion risk

Multi-Contrast Recon Modes

Mode HB dataset Black-blood生成 Dixon
Bright+Black Blood (Subtr) 1st + 2nd HB HB間 subtraction 互換あり。water image only
Bright Blood only 1st HB 作らない 制約なし
Bright+Black Blood (PSIR) 1st + 2nd HB phase-sensitive black-blood 非互換
Need Dixon?
Yes → Subtr
No → PSIR or Subtr
Subtraction の raw pixel sign は scanner output / DICOM / recon log で確認する。mode選択上は「HB1/HB2差分でblack-blood」が主眼。

Asymmetric 3D Pulses

適用条件

GRE-Dixon / FA <= 20 deg

Slab-selective pulse option。bSSFP / TrueFISP 一般や high-FA GRE の話へ広げない。

Optimized slab profile
Higher bandwidth
Lower achievable TE
3T BOOSTでの読み方 意味
GRE(-Dixon) readout中心 bSSFP banding を避ける実務設計
Dixon echo timing TE制約の余裕が重要
Water image subtraction water画像の安定性が black-blood branch に効く

Protocol Setup

3D images: coronal orientation only
Shim volume: heart centered
Slice oversampling: ~20%
Phase oversampling: ~30%
Coil focus: Center
iNAV box: heart + apex, avoid diaphragm
ManualのProtocol Setupは、scanner operatorが破綻させやすい箇所を先に固定する章。
Prep family Shim mode
T2-prepared B0 Shim Mode Cardiac
MT-prepared Tune up
Planning は free-breathing localizer から。Slab は chest wall を避け、body center LR / heart coverage AP / readout SI で置く。

Special Card UI

BOOST special card UI
iNAV
heart tracking / motion compensation
2nd HB Prep On
reference or prep-off long-TI
Multi-Contrast Acq
MT / adiabatic T2 / non-adiabatic T2
Acceleration
VD-CASPR factor, not PAT display
MT/T2 variants は provided protocols の使用が推奨。Special Card switch は汎用の実験スイッチとして扱わない。

References I — BOOST Foundation

Route Role
[[Lit_Ginami_2018_BOOST_Foundation]] BOOST foundation; coronary lumen + thrombus
[[Lit_Ginami_2019_PV_AtrialWall]] pulmonary veins / atrial wall extension
[[Lit_Milotta_2019_WholeHeart_BB_BKB]] interleaved T2prep-IR wall assessment
[[Lit_Munoz_2023_Simultaneous_Lumen_Wall]] iT2Prep-BOOST aortic lumen + wall
[[Lit_Hajhosseiny_2025_Coronary_Plaque]] NSTEMI culprit / vulnerable plaque translation
2018
Foundation
2019
PV / wall
2019
T2prep-IR
2023
Aorta
2025
Plaque

References II — Motion / Recon Backbone

Route Role in WIP 094
[[Lit_Henningsson_2012_SelfNavigated_CoronaryMRA]] iNAV / self-navigation lineage
[[Lit_Prieto_2015_GoldenStep_CoronaryMRA]] golden-step Cartesian acquisition
[[Lit_Bustin_2019_FiveMin_CoronaryMRA]] 3D-PROST / five-minute CMRA
[[Lit_Munoz_2018_CardiacPET_CoronaryMRA]] PET-MR motion correction extension
[[Lit_Batchelor_2005_MotionCorrectionMatrix]] motion correction math base
[[Lit_Correia_2018_XD_ORCCA_CoronaryMRA]] / [[Lit_Cruz_2017_NonRigid_VesselWall]] respiratory binning + non-rigid motion fields
Manual reference listは11本。Hajhosseiny 2025はmanual外だが、BOOST plaque translation の現行lineageとしてtimelineへ加えた。

Version History

Time Version Software Key change
Sep 2019 1427 VE11C First release
Feb 2020 1427B VE11C/E Non-rigid Moco recon
May 2021 1427C VE11C Recon speedup, PSN coil maps, 1-HB Dixon
Jul 2021 1427D VE11E Subtraction BB, interpolation, 2HB-Dixon
Apr 2022 094 XA30/31 GPU support
Jun 2023 094 XA50/51 Denoising + CS, variable 2nd TI
Jul 2024 094 XA60 / VA60A 8-MLEV T2prep, external ref scan improvements
1427 lineage
094 XA generation
XA60 / VA60A current manual

三重大での運用

Item 2026-04-25 status
BOOST license wip_1427 受領確認
PR Mie PR25-02169
Primary asset MAGNETOM Sola 1.5T XA60
Secondary asset Vida 3T XA50/60
Contact axis Karl Kunze / 石田先生 / 佐久間先生 / 真鍋

6 sibling projects

KCL Quantitative Perfusion, Inline Strain, 31P MRS, CHUV PharMaRhoNav, Fast CMR, BOOST。

三重大は「導入待ち施設」ではなく、advanced cardiac tool の成功例と未解決WIPを両方持つ施設。BOOST は portfolio の中で説明する。

既存ZK連携

[[BOOST_WIP094_Manual]]
一次SoT hub
[[BOOST_Sequence]]
sequence identity
[[Project_BOOST]]
三重大 operations
[[iT2Prep_BOOST_Variant]]
T2/IR + long-TI
[[iMTPrep_BOOST_Variant]]
MT/IR + 3000 Hz
[[BOOST_Multi_Contrast_Recon_Modes]]
Subtr / Bright / PSIR
[[VD_CASPR_Trajectory]]
sampling
[[Image_Navigator]]
tracking
[[PROST_Reconstruction]]
recon backbone
MOC route: [[MOC_BOOST技術論文]], [[MOC_Coronary_MRA]]

Open Questions

Technical

  • 三重大 install build に 3D-PROST recon が含まれるか。
  • 1RR-based BOOST extension が PROST motion model と互換か。
  • PSIR / subtraction / Dixon の site default は何か。

Operational

  • Sola先行か、Sola + Vida同時scopeか。
  • cross-application (LGE / WHP代替) は追加 loan agreement が必要か。
  • 最初のuse caseを morphology / speed / plaque のどれに置くか。
Open question は「未確定のまま使える論点」と「答えがないと運用できない論点」に分けて、石田先生/Karl向けに短く返答可能な形へ落とす。

Summary

Identity

BOOST は bright-blood lumen と black-blood wall/plaque を同じ whole-heart framework で扱う。

Stack

WIP 094 は iT2Prep / iMTPrep、VD-CASPR、iNAV、non-rigid Moco、PROST/CS を束ねる。

Mie

三重大では license 受領確認済。ただし build、install scope、1RR / PROST 互換は確認継続。

SoT hubで根拠確認
Special Cardでprotocol分岐
Project_BOOSTで運用判断

Appendix: 用語集 A

BOOST

Bright-blood and black-blOOd phase SensiTive。非造影 whole-heart で lumen と wall/plaque を同時に読む。

iT2Prep

T2 preparation + IR。2nd HB prep-off long-TI dataset と subtraction を組み合わせる。

iMTPrep

MT preparation + IR。off-resonance Gaussian pulse train。Special Card figure は 3000 Hz。

PSIR

Phase Sensitive Inversion Recovery。符号情報を保持し、reference dataset と組み合わせて black-blood を作る。

Appendix: 用語集 B

MLEV

T2-prep refocusing pulse train。WIP 094では 4-8 MLEV、または 2 optimized adiabatic pulses。

VD-CASPR

Variable Density Cartesian Acquisition with Spiral Profile ordeR。effective acceleration は約3.2-5.1。

iNAV

2D image navigator。心臓そのものを毎拍でtrackingし、SI/LR motion correction へ渡す。

PROST

Patch-based Reconstruction Of Undersampled data with Smoothness in Transform domain。motion-compensated iterative recon backbone。